| интересные подарки мужчине |

Начать новую тему Ответить на тему На страницу Пред.  1, 2, Bce
Автор Сообщение
 Заголовок сообщения: Re: Тупо не заживает нога!!!
СообщениеДобавлено: 23.12.2012 23:38 
Аватара пользователя

Сообщения: 969
Город: Харьков
Пол: Муж
Возраст: 34
Зарегистрирован:30.04.2012
Viktory писал(а):
мудрое решение и просто наберись терпения - есть травма, нужно время на восстановление
timonenok писал(а):
Наш организм прекрасно лечит себя сам, если ему не мешать, а если еще и помогать тихонечко, то все будет оки доки.

да просто ключица после перелома, которую так и не вправили толком и криво сросталась - уже через 3 месяца перестала беспокоить, а через пол года я штангу мог жать, сейчас вообще забыл что ломал. а тут уже год и :sad:


Вернуться к началу
shoppage  personalpage P  
 
 Заголовок сообщения: Re: Тупо не заживает нога!!!
СообщениеДобавлено: 23.12.2012 23:45 
Аватара пользователя

Сообщения: 3413
Изображения: 8
Город: Павлово Поле
Пол: Жен
Возраст: 58
Зарегистрирован:25.07.2007
demergi писал(а):
сейчас вообще забыл что ломал. а тут уже год и


да твои переживания понятны - тут каждый второй (если не первый :smile: ) знаком с подобной ситуацией. какие-то травмы проходят практически бесследно, а какие-то потом всю жизнь о себе напоминают.

_________________
Я существую вовсе не для того, чтобы чем-то поразить этот мир. Я существую для того, чтобы быть счастливым в этой жизни.


Девочки в ретро или леди на велосипеде


Вернуться к началу
shoppage  personalpage P Персональный альбом  
 
 Заголовок сообщения: Re: Тупо не заживает нога!!!
СообщениеДобавлено: 20.02.2013 15:07 
Аватара пользователя

Сообщения: 969
Город: Харьков
Пол: Муж
Возраст: 34
Зарегистрирован:30.04.2012
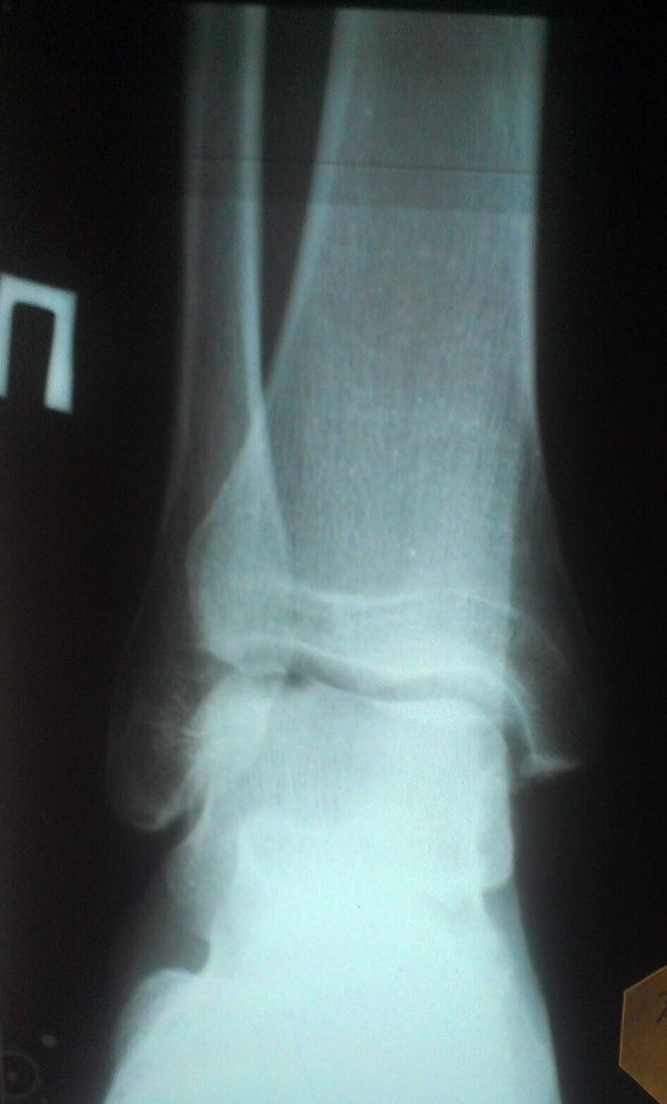
"История болезни"

01.02.12 (на тренировке)
Вернулся после перерыва в 2 месяца (сдавал сессию) на тренировки муай-тай. На тренировке упал и подвернул ногу. Заболела. Полежал. Встал, тренер сказал если щас же разбегаешься то пройдет быстро. Ну я продолжил треировку, хотя голеностоп такое ощущение что очень сильно налился жидкостью. Тренировку почти до конца закончил, но на следующий день все очень посинело и распухло и меня повезли на скорой в травматологию.

02.02.12 (4 травматалогия)
В 4й травматологии сделали рентген, сказали трещин пока не видно, но нужно будет еще позже проверить на повторном снимке. Перелома нет. Сказали повреждение связочного аппарата, повесили гипс на голень и стопу, гипс носил до 14ого, потом еще неделю дома носил повязки.

14.02.12 (студенческая)
В студенческой сделали повторный рентген, сказали трещин нет, на ногу внешне не смотрели. Сказали бинтовать эластичным бинтом и мазать долобене. Чуть чуть помазал, мотал бинтами долго.

7.06.12 (студенческая)
Снова в студенческую пошел так как не проходила нога. Сделали рентген, внешне ногу не смотрели. Сказали дисплазии нет, есть воспаление сустава, непонятно почему. Назначили компресы с Димексид+Гидрокартизон, мазь Дип-Хит и Фламидез таблетки 2шт/день в течении 10-12 дней.

Июль 2012 (17 детская)
В травматологии врач осмотрел ногу и снимки, сказал на первом снимке были трещины, а воспаление/отек сохраняется по сей день из-за того, что раньше положенного начались нагрузки на ногу, раньше чем нужно снят был гипс и пр. Прописал массировать ногу от голени до бедра, мази долобене+лиотон, 2 недели таблетки мовалис+лоратодин, эластичный бинт/повязку восьмерку. В итоге стало лучше, но не прошло.

Ноябрь 2012 (17 детская)
Все еще не проходит. Осмотрели ногу в той же травматологии. Сказали Артрон Комплекс пропить + мази + немного разрабатывать ногу.

5.02.13 (17 детская)
Осмотрели ногу, сделали рентген, было подозрение на кисту, которое не подтвердилось. Для уточнения пошел с рентгенами к професору, который сказал, что Болезнь Кенига.

Февраль 2013 (поликлиника на молодежной)
Решил заглянуть в местную поликлинику, врач посмотрел на снимки, ногу не смотрел, сказал артроз и направил в Ситенко, что бы там "тебе напишут направление на физиопроцедуры всякие".

Февраль 2013 (2 травматология)
Сделал КТ, пошел с рентгенами к хирургу, который сказал что: остеоартроз правого голеностопного сустава, кистозная форма. Выписал Аркоксия + Артрон Комплекс и предложил в случае если лекарства не помогут операцию по замыканию сустава. Общее состояние охарактеризовал как плохое. Я за тот день сжег больше нервов чем за всю жизнь до этого.

18.02.13 (институт протезирования)
Врач осмотрел ногу, сказал, что врожденное небольшое отклонение, которое без нагрузок осталось бы незамеченным, но при занятиях спортом дало о себе знать. Посоветовал купить ортопедические стельки и специальный бондаж на голеностоп. Еще советовал препарат "Структрум" и препарат для внурисуставных уколов "Останил". Сказал, что, возможно, был какой то надрыв хрящевой ткани сустава. Общее состояние охарактеризовал как безпроблемное и сказал, что при таких малых повреждениях даже артрон пить не обязательно.

19.02.13 (областная больница на универе)
Врач осмотрел КТ и рентгены, сказал болезнь Кенига в 3-4 стадии и сказал, что нужно делать операцию - артроскопию. Сказал после операции смогу плавать/велосипед/бег в кросовках с суспенаторами, но ударные единоборства, баскетбол, большой тенис и прочие ударные осевые нагрузки - нельзя. С операцией сказал не тянуть.

20.02.12 (ситенко)
Врач осмотрел ногу, рентгены и КТ. Сказал что есть небольшая дисплазия, что есть начальная стадия болезни кенинга, есть некоторое повреждение хряща, но сказал что операция не нужна. Сказал купить специальный бондаж на ногу (второй раз мне его советуют, ~$160, Malleo Train) и побегать/попрыгать в нем неделю, а потом прийти к нему на осмотр и он посмотрит что изменится за неделю под нагрузкой. Никаких таблеток сказал не нужно.

Если подытожить:
- Все больницы местного значения отправляют в ситенко, а сами пишут не думая "посттравматический артрит/артроз"
- Во 2й хирург сказал все плохо, пропить лекарства и если не поможет предложил замыкание. сказал никаких нагрузок.
- На московском профессор осмотрел и сказал Болезнь Кенинга
- В институте протезирования посоветовали стельки и повязку Malleo Train, сказали что кенинга вообще не видят.
- В областной больнице на тринклера сказали 3-4 стадия болезни кенинга и сказали что тут операция и делать надо было ее уже вчера, сказали никаких нагрузок.
- В ситенко сказали купить Malleo Train побегать/попрыгать в нем неделю, а потом прийти на осмотр, сказал операции не нужно. Сказал есть болезнь кенинга начальной стадии, некоторая дисплазия, небольшое плоскостопие и некоторое повреждение хряща.

меня вообще как бэ смущает нагружать ногу с повреждением хряща и болезнью кенинга, тк вся мед литература завалена фразами о том, что кенинг под нагрузкой осложняется всегда.

кому верить? какое из взаимоисключающих и противоречащих лечений выбрать? я нихрена не знаю, что мне делать.

:evil: :evil: :evil: :evil: :evil: :evil: :evil: :evil: :evil: :evil: :evil:

PS^

в плане лечения:
- 2 совпадения по артрон комплекс (купил)
- 2 совпадения по ортопедическим стельками (тоже надо наверное)
- 2 совпадения по повязке MalleoTrain на голеностоп (собираюсь купить)
- 2 совпадения по мази Долобене (купил)


Вложения:
XnY6OQmJOwk.jpg
XnY6OQmJOwk.jpg [ 237.18 КБ | Просмотров: 2547 ]
КТ.jpg
КТ.jpg [ 483.5 КБ | Просмотров: 2547 ]



Последний раз редактировалось demergi 21.02.2013 04:01, всего редактировалось 1 раз.
Вернуться к началу
shoppage  personalpage P  
 
СообщениеДобавлено: 20.02.2013 16:38 
Аватара пользователя

Сообщения: 17298
Изображения: 4
Город: Харьков
Пол: Муж
Возраст: 46
Зарегистрирован:30.09.2003
Обратись к Galen memberlist.php?mode=viewprofile&u=5925


Вернуться к началу
shoppage  personalpage P Персональный альбом  
 
 Заголовок сообщения:
СообщениеДобавлено: 20.02.2013 22:05 
Аватара пользователя

Сообщения: 969
Город: Харьков
Пол: Муж
Возраст: 34
Зарегистрирован:30.04.2012
Обращался, но я так понимаю его специализация это травматология, а не болезни суставов. Выше помечено как 17 детская.


Вернуться к началу
shoppage  personalpage P  
 
СообщениеДобавлено: 24.02.2013 15:01 
Аватара пользователя

Сообщения: 597
Город: Харьков
Пол: Муж
Возраст: 56
Зарегистрирован:09.08.2007
demergi

Мой друг! Моя специальность это детская травматология и ортопедия.Суставы это "мое".Но возможности мои ограничены.Мы не занимаемся такими патологиями.У детей они не встречаются.Но определить причину,найти проблему это другое.Это мы можем у людей любого возраста.
В твоем случае я направил тебя именно по адресу,к во первых врачу специалисту высшей квалификации владеющему нужными тебе лечебными технологиями лечения, во вторых -к прекрасному реабилитологу и моему другу.
В твоем случае мы столкнулись с последствиями и несвоевременной диагностики и соответственно запоздалого принятия мер.
И не наша в этом вина.Но есть проблема и я помогу тебе с ней разобраться.
Уже консультировали тебя по моей просьбе и приложили немало сил к уточнению диагноза профессор Спузяк М.И.(рентгенолог) и к.м.н. Бабалян В.А.(травматолог).Это серьезные люди, нет повода сомневаться в их компетентности.
Запомни что сколько врачей, столько и мнений.Ты выбираеш с кем ты согласен, и кому ты себя доверяеш.
Дополнительно хочу договорится о частной консультации с одним из лучших травматологов Гнедушкиным Ю.Н.
Извини что все медленно.К сожалению наслоилось масса семейных проблем связанных с болезнью близких не позволяет мне более активно принимать участие, но думаю в скором времени вернемся к вашей проблеме.

_________________
С уважением, ваш Galen.
Bianchi Jab *RedDragon*


Вернуться к началу
shoppage  personalpage P  
 
СообщениеДобавлено: 24.02.2013 19:19 
Аватара пользователя

Сообщения: 969
Город: Харьков
Пол: Муж
Возраст: 34
Зарегистрирован:30.04.2012
Galen писал(а):
профессор Спузяк М.И.(рентгенолог) и к.м.н. Бабалян В.А.(травматолог).Это серьезные люди

Просто первый поставил Болезнь Кенинга, а второй - остеоартроз. Первый сказал что то в стиле "ты почти здоровый". А второй в качестве оперативного лечения, если не поможет курс вышеуказанных таблеток, предложил артродез, я на подобный ход не пойду.

Цитата:
Запомни что сколько врачей, столько и мнений.Ты выбираеш с кем ты согласен, и кому ты себя доверяеш.
Дополнительно хочу договорится о частной консультации с одним из лучших травматологов Гнедушкиным Ю.Н.

был бы благодарен.

PS^

на данный момент пью артрон, аркоксиа, витамины и кальций + купил ту повязку и мажу долобене.


Вернуться к началу
shoppage  personalpage P  
 
Показать сообщения за:  Поле сортировки  
Начать новую тему Ответить на тему На страницу Пред.  1, 2, Bce


Вы не можете начинать темы
Вы не можете отвечать на сообщения
Вы не можете редактировать свои сообщения
Вы не можете удалять свои сообщения
Вы не можете добавлять вложения

Найти:
Перейти:  
cron
  © Mishael 2003-2025, да, бля - ми ще живі
Наши друзья: Рыбалка в Хмельницком | Рыбалка в Полтаве
Мобильный вид

[ Time : 0.102s | 20 Queries | GZIP : On ]
Reputation System ©'